Pathology laboratory examination
It has been 0 days since the last update of this post. Some contents may be outdated. Please pay attention to screening.
病理学实验内容
复习时这只是一个辅助资料,以本校老师上课内容为主。
显微镜物镜分别为 plan4/0.10 plan10/0.25 plan40/0.65
目镜为 WF10X/22
在切片中均有这三个镜头下的细胞形态。如果出现一个条目多余三张图片则是因为有一种放大倍数下拍摄了多个典型的细胞形态。
第一次
切片
肝细胞颗粒变性
- 核增大、深染、居中
- 胞质淡染
- 线粒体和内质网肿胀形成红染细颗粒状物
- 气球样变
![image]()
![image]()
![image]()
![image]()
心肌萎缩
- 脂褐素
- 心肌细胞体积减小
![image]()
![image]()
![image]()
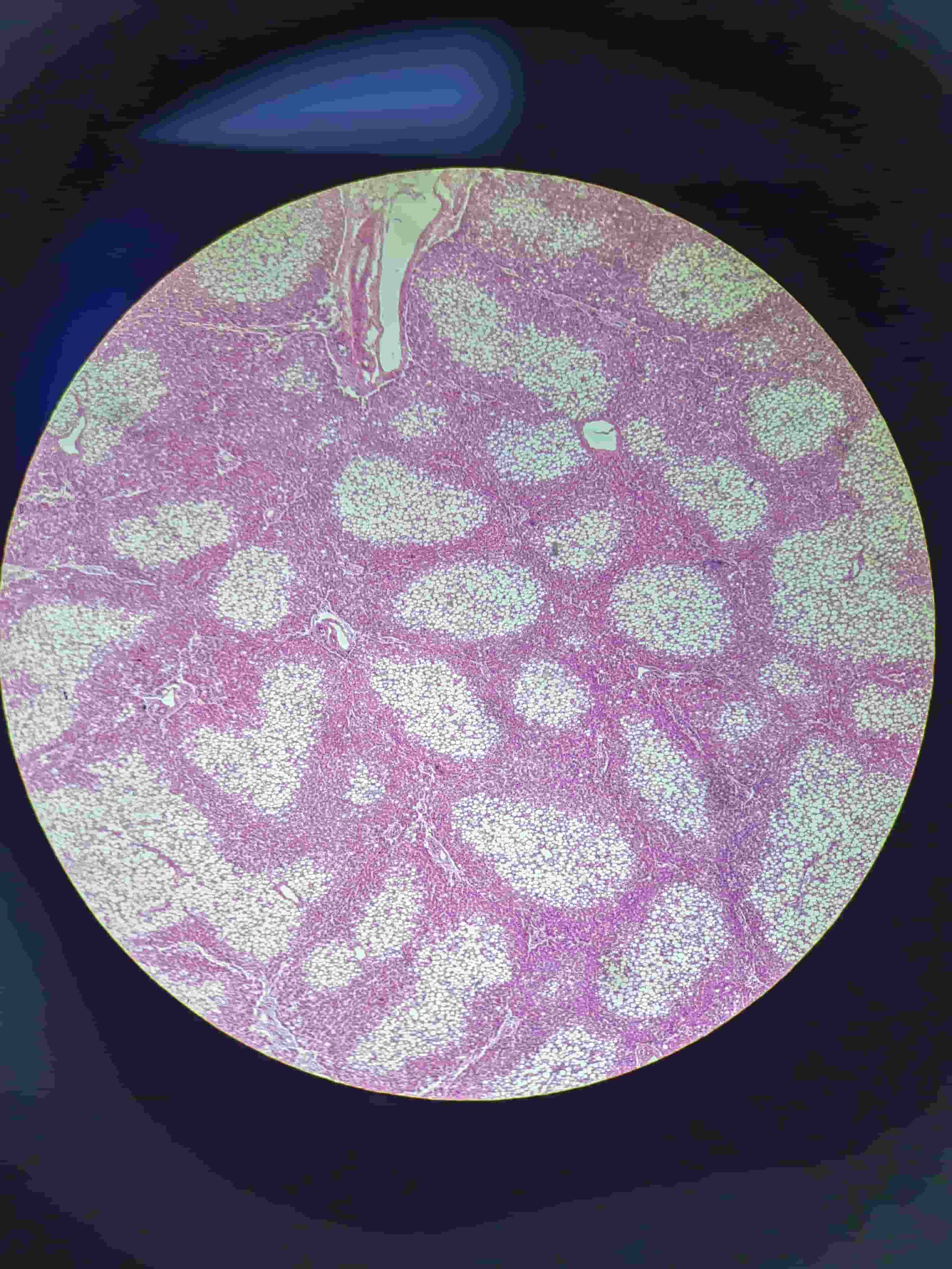
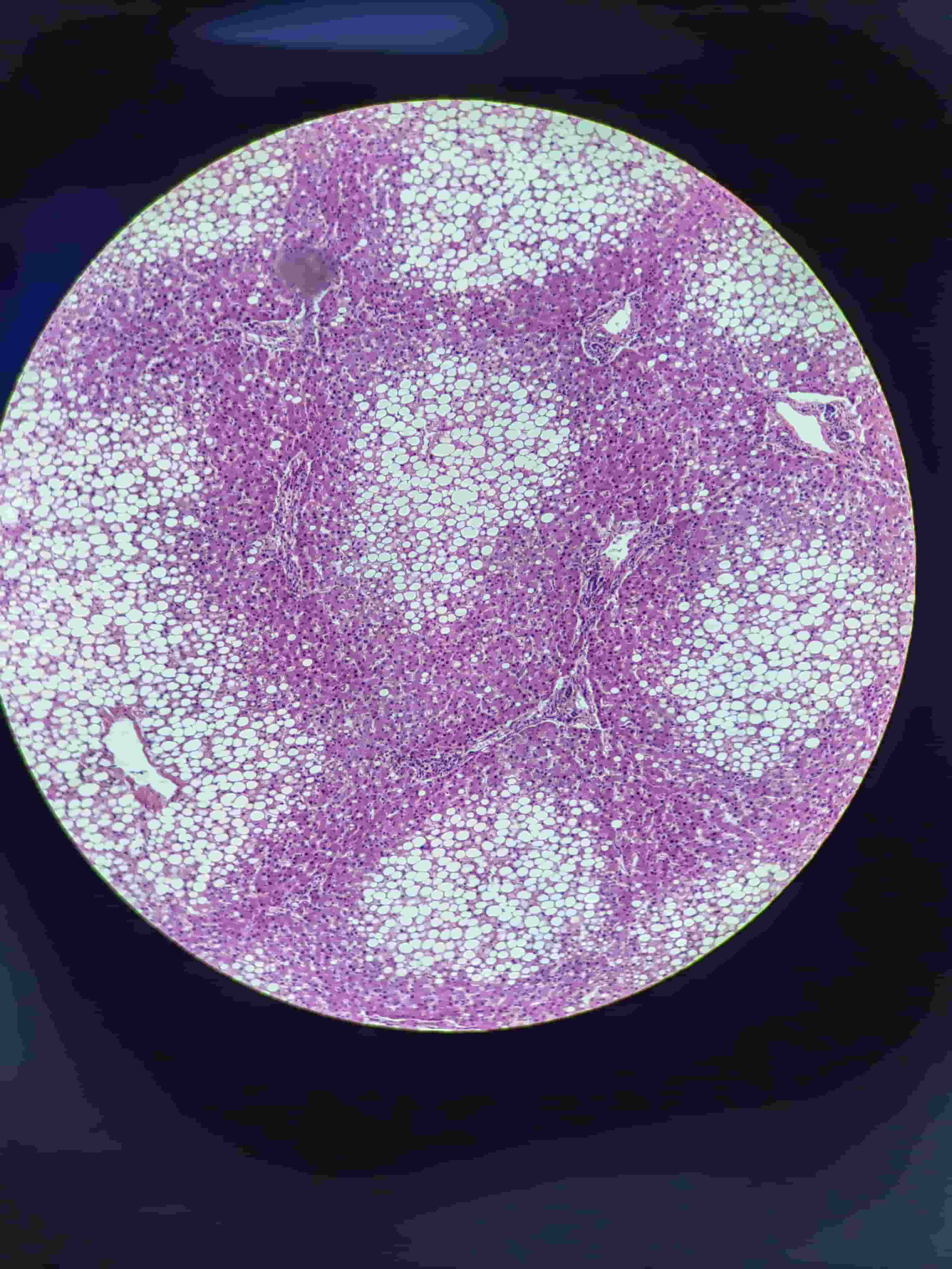
肝细胞脂肪变性
- 石蜡切片含大小不等空泡,为脂滴(被有机溶剂溶解)
- 脂滴推挤使核偏向一侧
![image]()
![image]()
![image]()
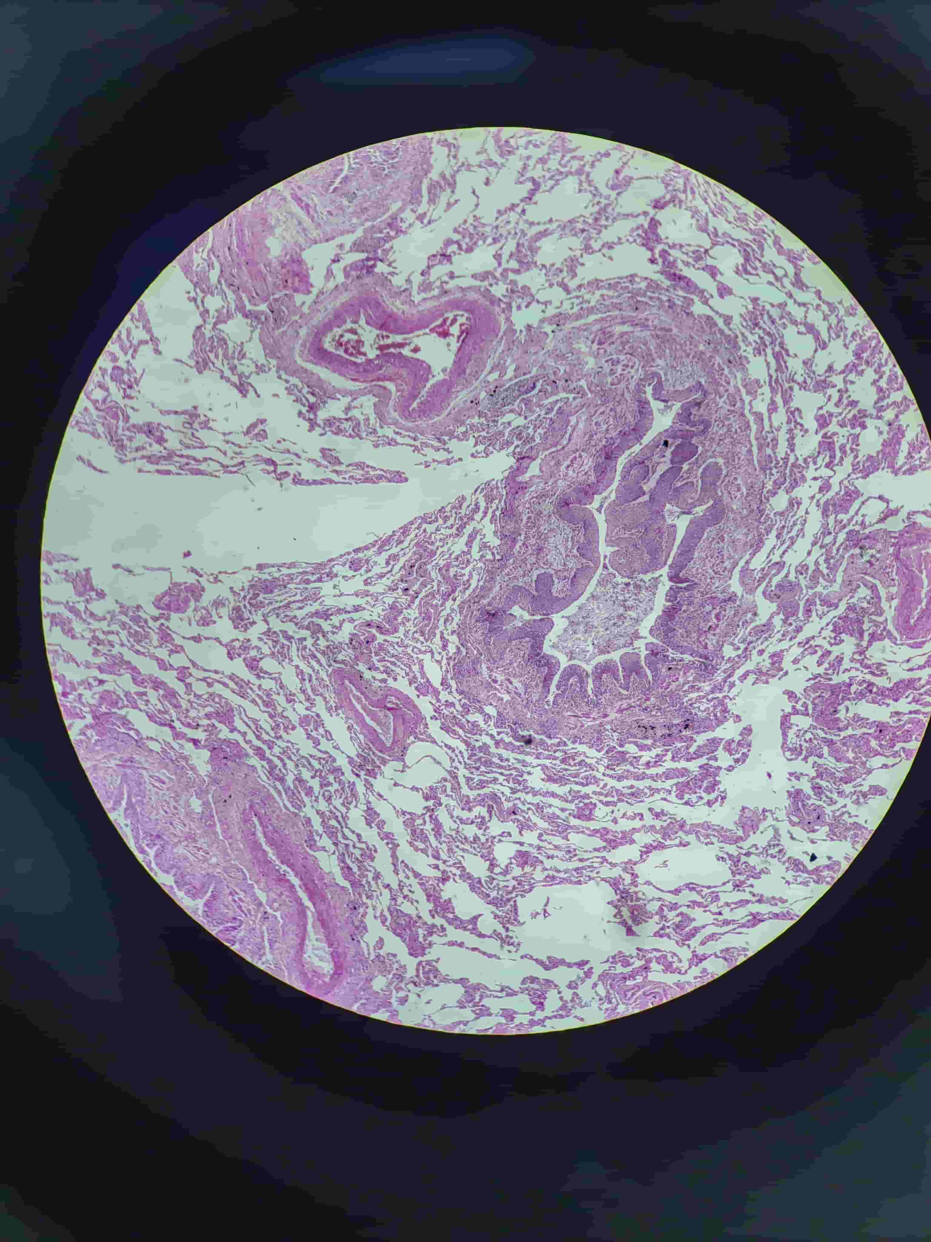
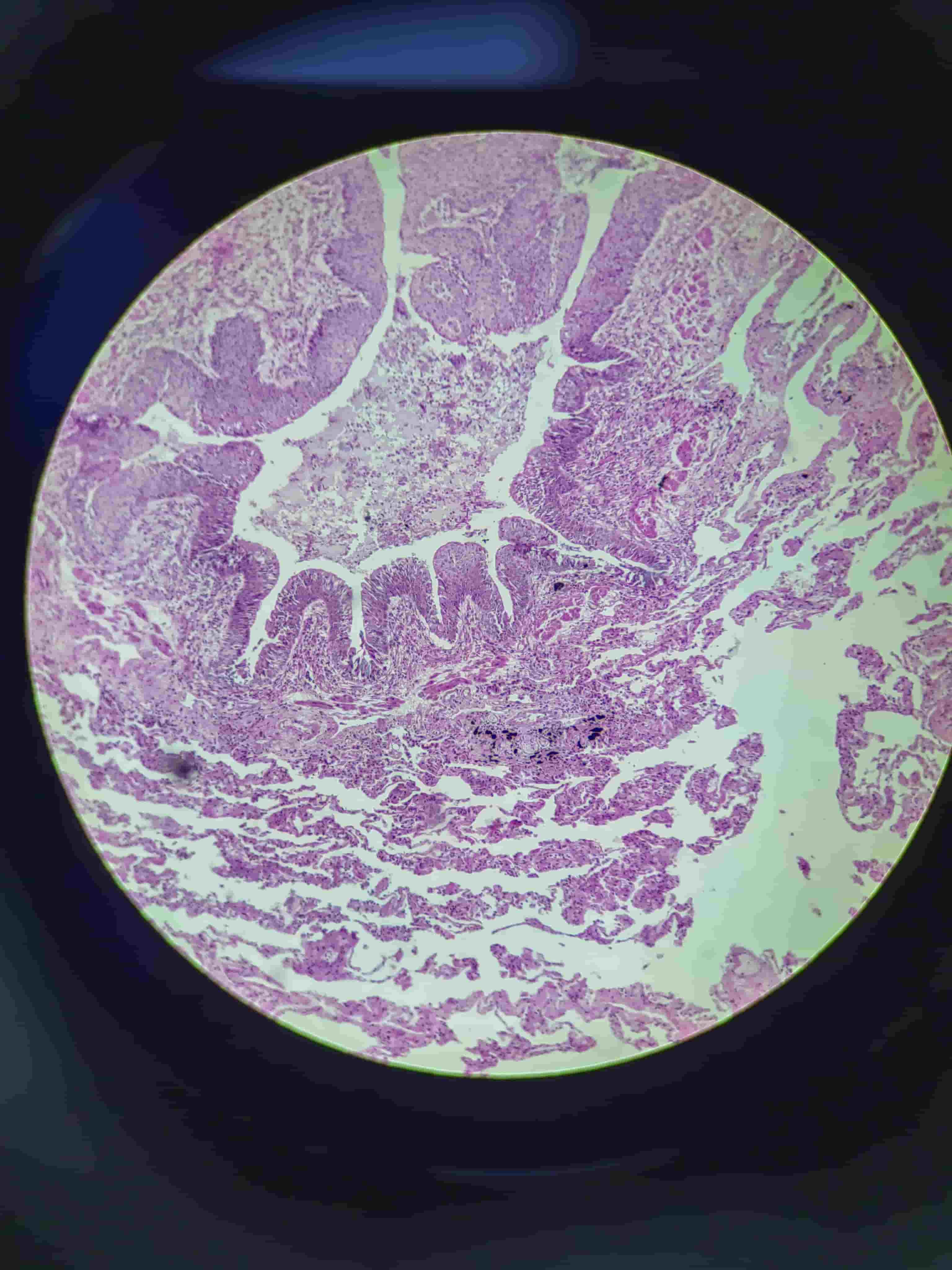
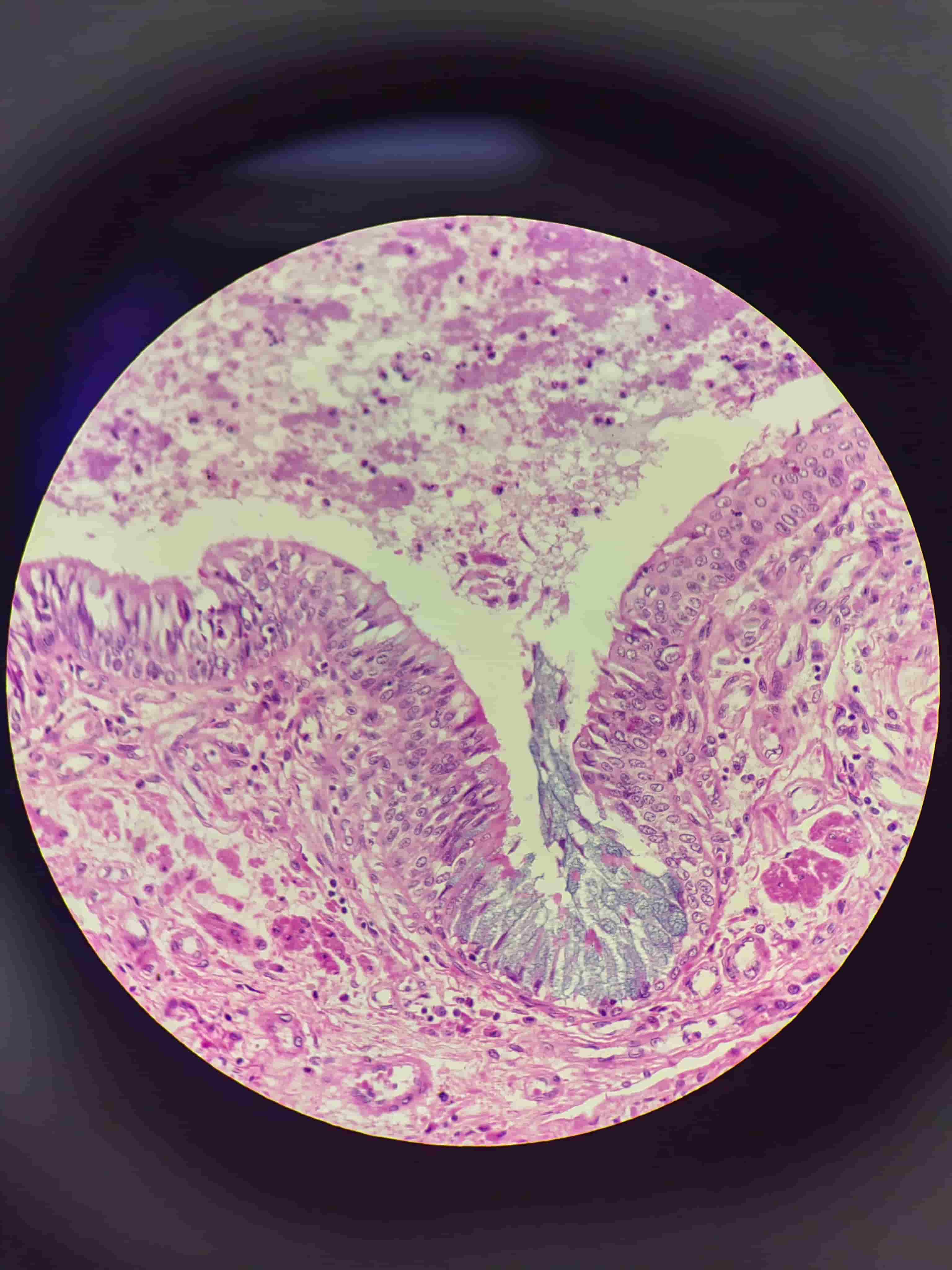
支气管粘膜鳞状上皮化生
- 假复层纤毛柱状上皮变为鳞状上皮
- 细胞层数变多(单层到多层)
- 杯状细胞消失,无法分泌黏液
- 纤毛消失,无法自净
![image]()
![image]()
![image]()
![image]()
大体
心肌萎缩
- 心脏血管蛇形弯曲(心脏外表面)
- 心脏体积缩小
![image]()
心肌褐色萎缩
- 脂褐素
- 体积减小
![image]()
心脏棕色萎缩

正常心脏

睾丸鞘膜积液
- 右侧居中为睾丸
- 鞘膜腔积液
- 鞘膜可见玻璃样变(右上区域,白色)
![image]()
肝细胞水肿
- 体积增大、边缘圆钝、包膜紧张、切面外翻、颜色变淡
![image]()
肾萎缩
- 肾盂积水、肾实质压迫性萎缩
- 皮质、髓质萎缩变薄
![image]()
脂肪肝
- 显著弥漫性肝脂肪变
- 体积增大、淡黄色、边缘圆钝、切面油腻
![image]()
脑萎缩
- 脑室积水压迫性萎缩
- 实质变薄
- 脑沟变浅、表面较光滑
![image]()
高血压心
- 代偿性肥大
- 体积增大
- 壁肥大变厚、乳头肌增粗
![image]()
第二次
切片
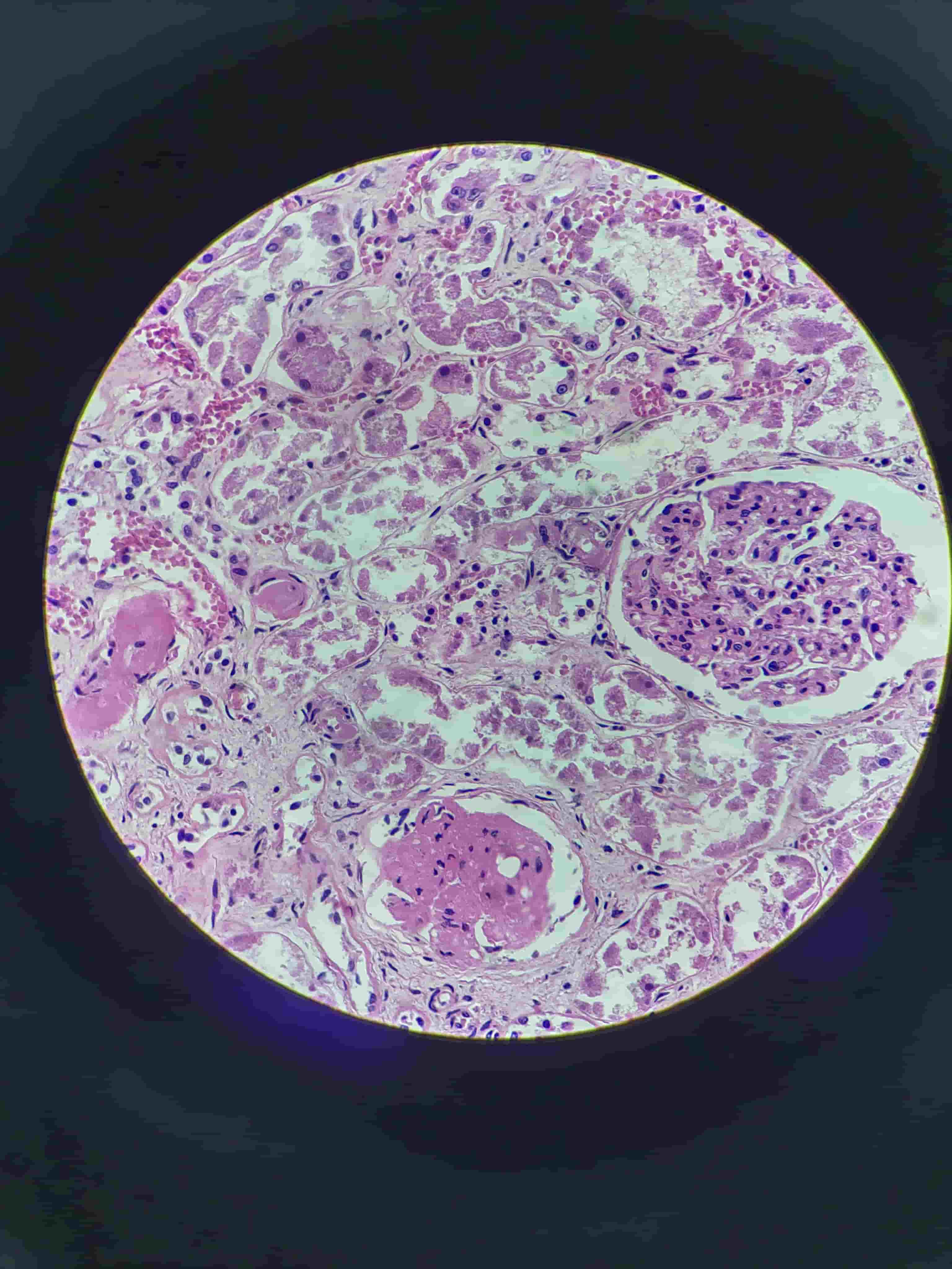
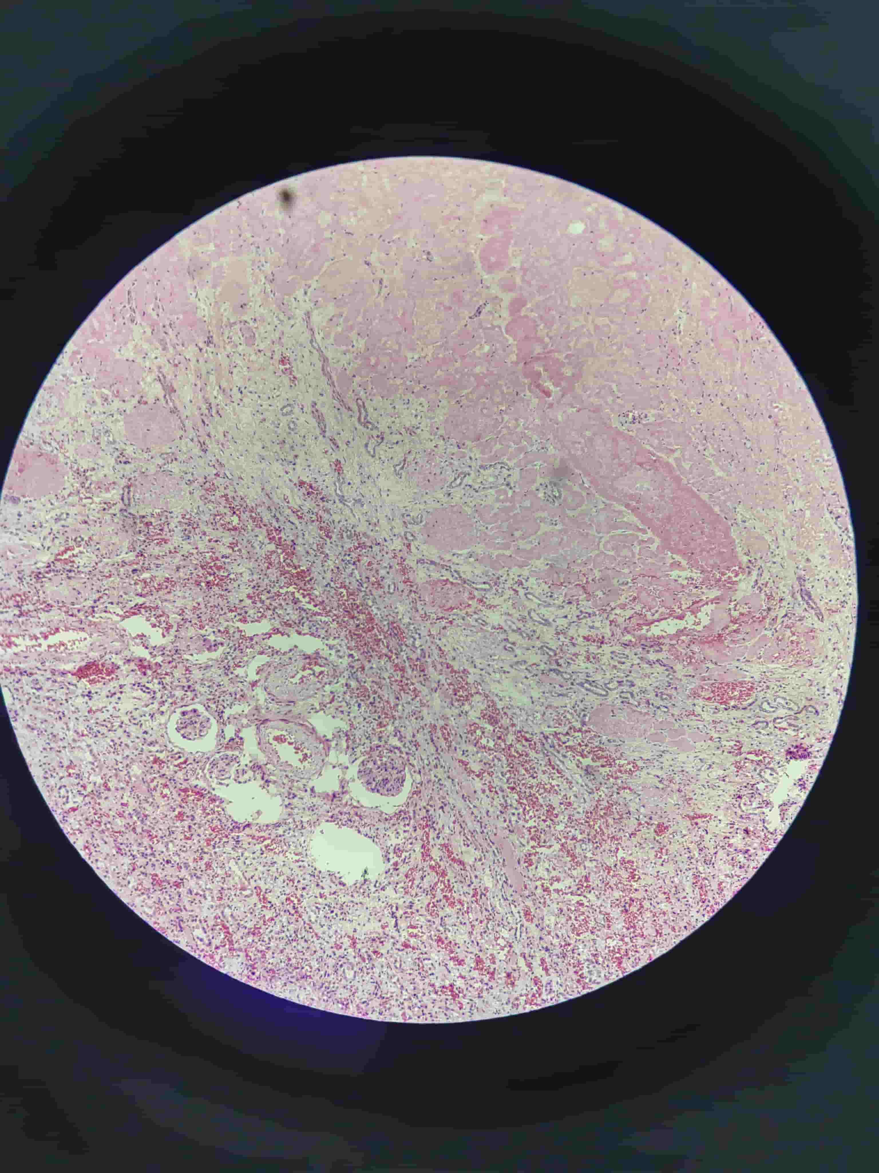
肾凝固性坏死
- 充血、出血、炎症反应带
- 可见个别正常肾小球
- 细胞微细结构消失,组织结构轮廓尚存
![image]()
![image]()
![image]()
肾细小动脉壁玻璃样变性
- 血浆蛋白质渗入、基底膜代谢物质沉积
- 管壁增厚,管腔狭窄
- 壁内见红染均质物质
![image]()
![image]()
![image]()
![image]()
肺干酪样坏死
- 结核病
- 无结构颗粒红染物
- 无组织结构残影,不见核碎屑
![image]()
![image]()
![image]()
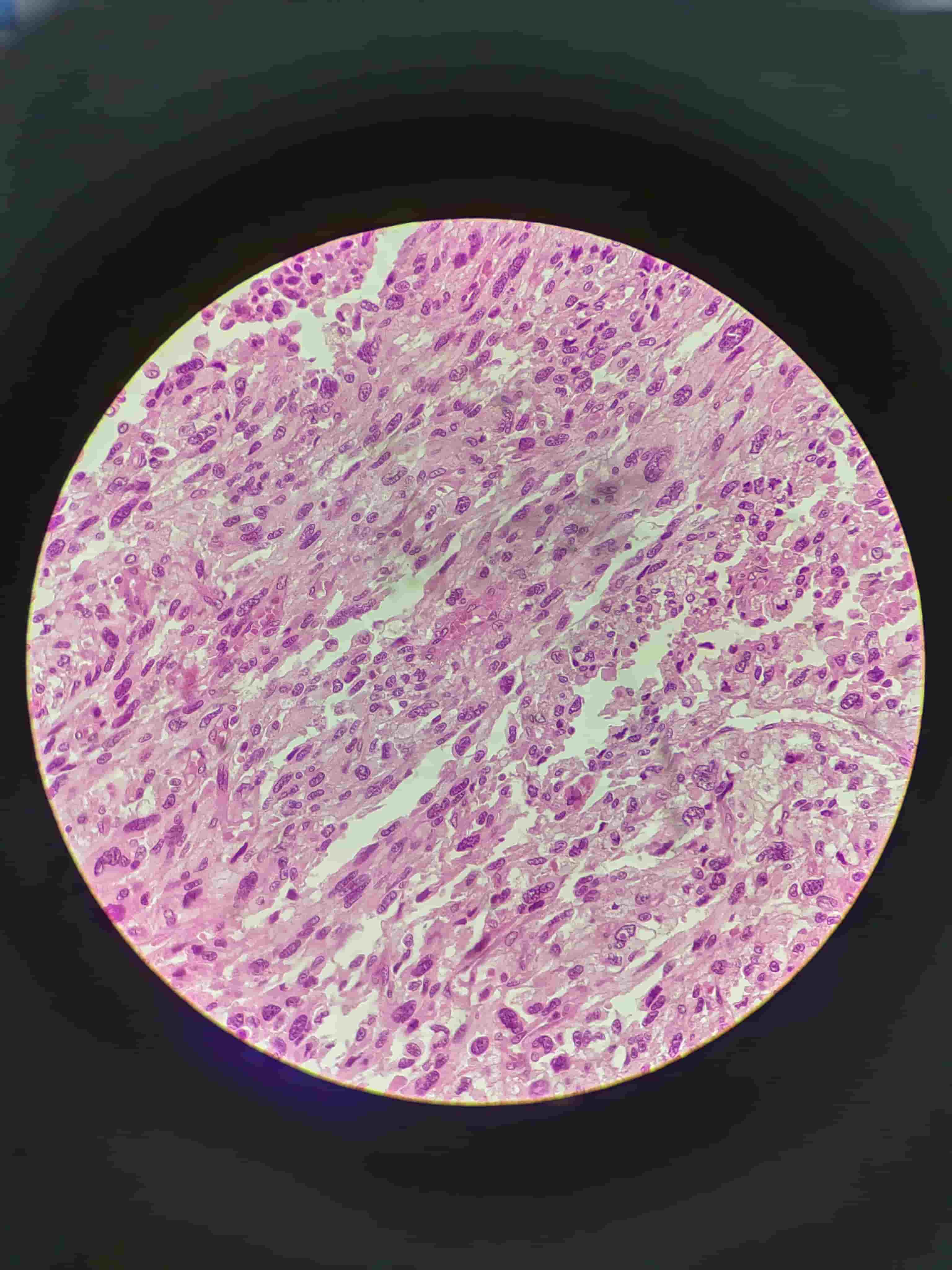
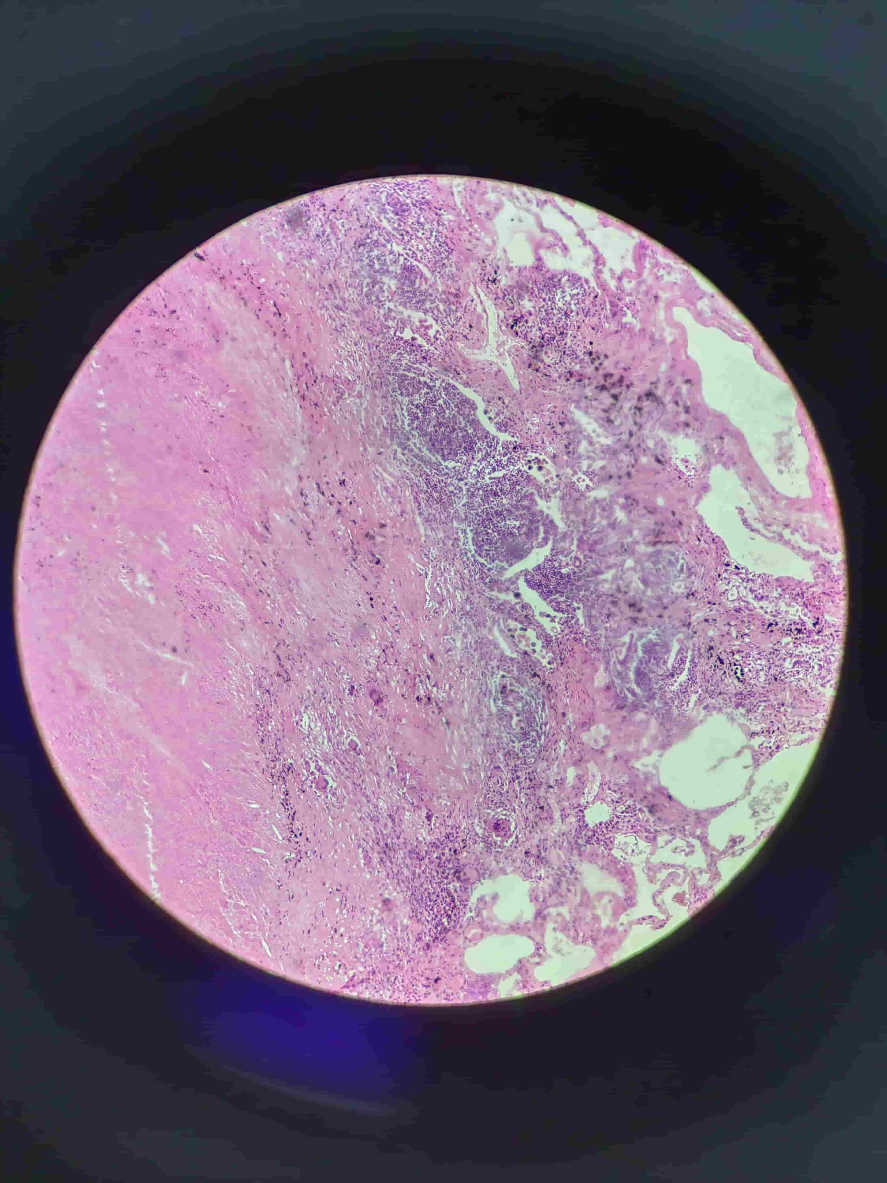
肉芽组织
- 毛细血管、成纤维细胞
- 炎细胞浸润
![image]()
![image]()
![image]()
大体
干性坏疽
- 与正常组织界限清楚
- 坏死区干燥皱缩黑色
- 腐败较轻
![image]()
湿性坏疽
- 界限不清
- 坏死区水分多、肿胀、蓝绿色
![image]()
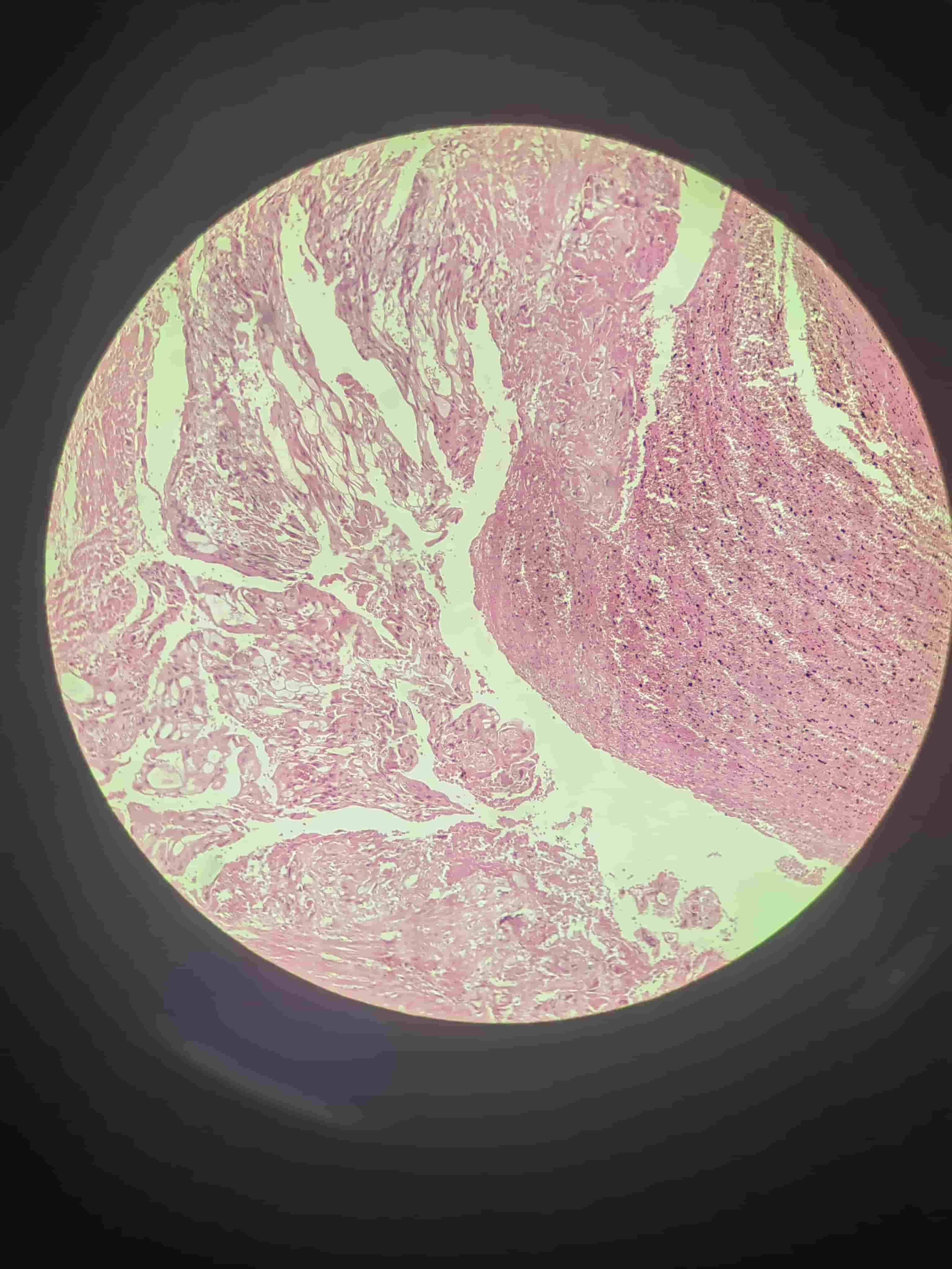
肝硬化
- 肝硬化结节演变
- 肝小叶网状支架被破坏,无法恢复正常结构
![image]()
![image]()
肾干酪样坏死
- 结核病,病灶脂质多,坏死区黄色似干酪
- 原有组织结构破坏,彻底的凝固性坏死
![image]()
![image]()
脑液化性坏死
- 组织富含磷脂
- 组织结构被破坏
![image]()
脾梗死
- 灰黄色(肉色?)区域为梗死区,与血管分布有关
- 凝固性坏死
![image]()
![image]()
阿米巴肝脓肿
- 阿米巴原虫(寄生虫)感染
- 实质被虫的分泌物溶解,间质保留呈絮状
- 液化性坏死
![image]()
![image]()
第三次
切片
慢性肝淤血
- 肝小叶结构存在,CV及附近肝窦扩张淤血
- 瘀血区内肝细胞萎缩,周围肝细胞脂肪变
![image]()
![image]()
![image]()
慢性肺淤血
- 心衰细胞
- 肺泡隔纤维结缔组织增生
![image]()
![image]()
![image]()
混合血栓
- 灰白色(血小板小梁)、红褐色(红细胞)层状交替
- 血小板小梁附近有中性粒细胞附着
![image]()
![image]()
![image]()
肾贫血性梗死
机化和再通
- 肉芽组织取代血栓
![image]()
肿瘤栓塞

大体
心肌梗死

槟榔肝


肠出血性梗死

肺动脉骑跨型栓塞

肺小栓塞

肺梗死

肺褐色硬化(普鲁士蓝染色)
.jpg)
肺褐色硬化

脑淤血

附壁血栓

静脉血栓(下腔静脉)
.jpg)
静脉血栓(痔)
.jpg)
风心赘生物

第四次
切片
慢性胃溃疡



纤维素性心外膜炎



肺脓肿



横纹肌蜂窝织炎



结核性肉芽肿



大体
假膜性肠炎

化脓性脑膜炎

急性重症肝炎

慢性胆囊炎


白喉

粟粒性肺结核

细菌性痢疾

肾脓肿

脑脓肿

血吸虫病肠息肉

鼻息肉

第五次
切片
结肠腺癌



皮肤乳头状瘤



大肠腺瘤



鳞状细胞癌



大体
乳腺癌



乳腺纤维腺瘤

卵巢囊腺瘤(浆液性)

卵巢囊腺瘤(粘液性)

卵巢纤维瘤

宫颈癌


皮肤乳头状瘤


肠癌(溃疡型)

肠癌(菜花状)

肠腺瘤

胃癌(溃疡型)

胃癌(革囊胃)

脂肪瘤

脂肪肉瘤

阴茎癌

食管癌(蕈伞型)

食道癌


第六次
切片
宫颈原位癌



淋巴结转移性腺癌



骨肉瘤



大体
子宫肌瘤

宫颈癌

横膈转移

淋巴结何杰金氏病

肋骨血管瘤

肝黑色素瘤转移

肺癌肝转移

骨肉瘤

第七次
切片
心肌梗死



风湿性心肌炎



亚急性心内膜炎



冠状动脉硬化



肾细动脉硬化



大体
二尖瓣狭窄

亚急性细菌性心内膜炎

动脉粥样硬化



心梗

心肌肥大

急性细菌性心内膜炎

感染性心内膜炎

慢性风心瓣膜病

联合瓣膜病

脑动脉粥样硬化

颗粒型固缩肾

风心疣状心内膜炎

高血压脑出血

第八次
切片
大叶性肺炎-肺肉质变.0

大叶性肺炎-肺肉质变

大叶性肺炎.0.0

大叶性肺炎.0.1

大叶性肺炎.0

大叶性肺炎.1

大叶性肺炎.2

大叶性肺炎

小叶性肺炎.0

小叶性肺炎.1

小叶性肺炎.2

小叶性肺炎

慢支.0

慢支.1

慢支.2

慢支

支气管扩张.0

支气管扩张

硅肺.0.0

硅肺.0.1

硅肺.0

硅肺.1

硅肺.2

硅肺

肺中心型肺癌

肺小细胞癌.0

肺小细胞癌.1

肺小细胞癌.2

肺气肿

肺癌

肺癌(周围型)

肺转移性肝癌

大体
第九次
切片
慢性萎缩性胃炎



急性重症肝炎



亚急性重症肝炎



慢性肝炎



肝硬变



大体
亚急性肝炎

十二指肠溃疡

小肝癌肝硬化

弥漫性胃粘液癌

急性重症肝炎

细结节肝硬化

肝癌(巨块型)

肝癌(瘤栓型)

肝硬化(不全分隔型)

肠癌(狭窄型)

胃溃疡

胃溃疡穿孔


胃癌(溃疡型)

胃癌(革囊胃)

食管癌(溃疡型)

食管癌(蕈伞型)

食道癌

食道静脉曲张

第十次
切片
葡萄胎



绒癌



新月体肾炎



慢性硬化性肾炎



慢性肾盂肾炎



大体
乳腺癌


侵袭性葡萄胎

子宫绒癌

宫颈癌


急性肾盂肾炎

慢性肾盂肾炎

畸胎瘤

瘢痕肾

肺转移性绒癌

膜性增生性肾小球肾炎

葡萄胎(良)

颗粒肾(慢性肾小球肾炎)

Pathology laboratory examination
Med/pathology-laboratory-examination.html
Comments
Comment plugin failed to load
Loading comment plugin























































