Microbiology laboratory examination
It has been 0 days since the last update of this post. Some contents may be outdated. Please pay attention to screening.
医学微生物学实验内容
复习时这只是一个辅助资料,以本校老师PPT为主。
第一次
Coccus

Bacillus

Vibrio

Flagellum

Capsule

Spore

Paper

第二次
Paper

白喉棒状杆菌

霍乱弧菌

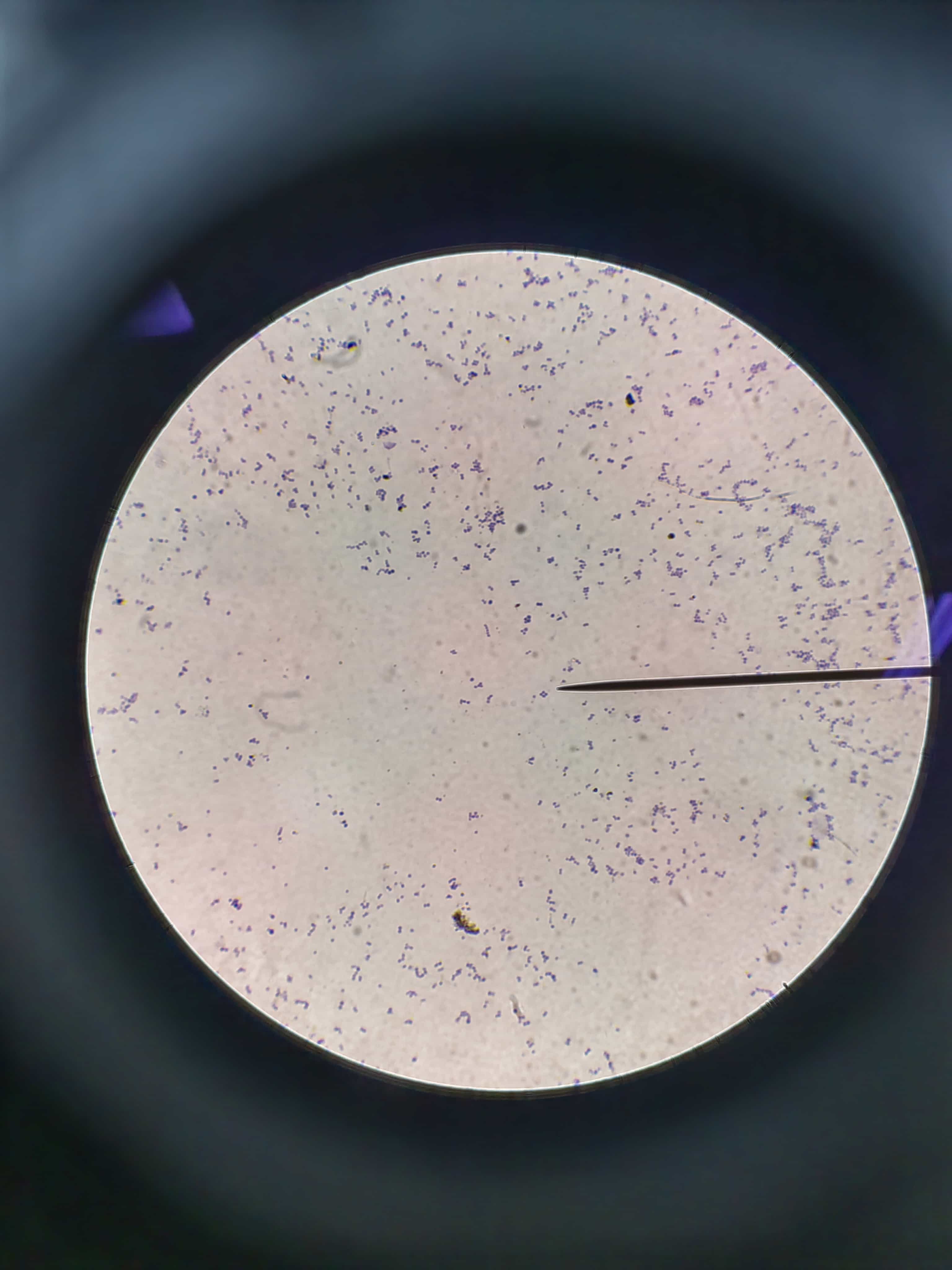
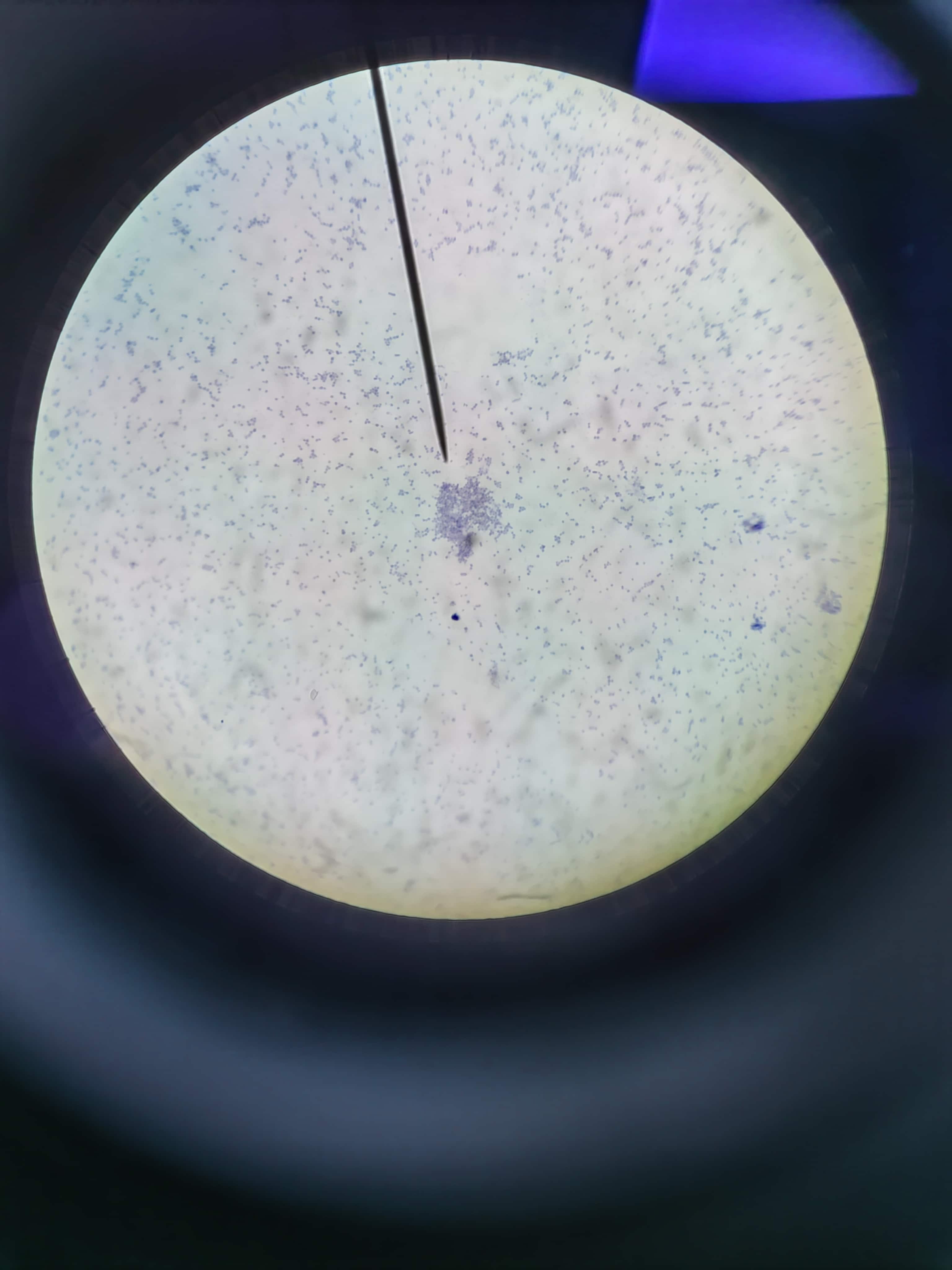
链球菌

葡萄球菌

Microbiology laboratory examination
Med/microbiology-laboratory-examination.html
Comments
Comment plugin failed to load
Loading comment plugin